栏目分类
新闻中心
硬核手术守护患者“肝”净——肝胆胰外科和甲状腺外科ERAS模式创康复新纪录
来源: 发布时间:2025/8/18 作者:王婷婷 阅读数:1928
“肝脏术后第一天就能自己走路,第四天就出院了,这要是搁以前,简直是天方夜谭!”刚从我院肝胆胰外科出院的王阿姨,手里攥着出院小结,脸上满是难以置信的喜悦,作为一名肝血管瘤患者曾经以为这样的肝脏手术意味着“开膛破肚、大动干戈”,术后必然要卧床数周、住院半月,而如今,“早拔管、早活动、少疼痛、早出院”的全新体验,彻底改变了患者对肝脏手术的认知。
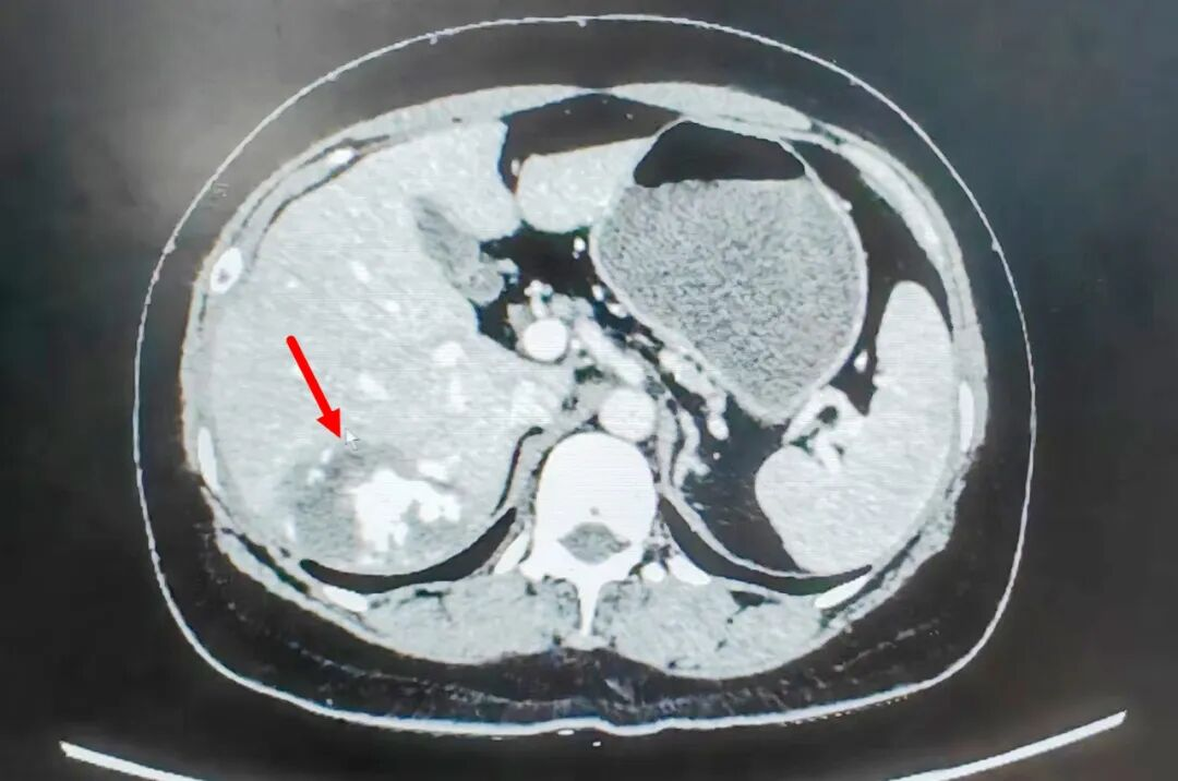
▲肝多发海绵状血管瘤
打破传统认知:肝脏手术不再是“持久战”
在很多人的印象里,肝脏手术是外科领域的“大手术”,尤其是肝S6/7段位置较深,靠近肝脏后方,传统开腹手术往往需要20厘米以上的切口,术后患者不仅要插胃管、尿管、腹腔引流管,还得卧床至少1周,住院时间普遍超过10天,术后伤口的剧烈疼痛更是让不少患者对手术望而却步。但王阿姨的经历却截然不同:她接受的腹腔镜下肝部分切除术,6.5cm的肝S6/7段血管瘤,仅通过3个钥匙孔大小的切口便被精准切除。
术后24小时内拔除尿管、胃管,术后第一天晨起洗漱后下床活动,全程几乎没怎么受“疼”,4天后便顺利康复出院。
围手术期全流程干预:快速康复有“章法”
王阿姨的“快速康复”并非偶然,而是源于肝胆胰外科和甲状腺外科医护团队通过科学的围手术期管理,为肝血管瘤患者王阿姨制定了系统化的快速康复方案,从术前到术后的全流程科学管理,每一个环节都围绕“减少创伤、加速恢复”精准发力。
▲护理团队了解患者情况
术前准备阶段,医疗团队进行了全面评估与干预,通过营养状况、心肺功能等多维度检查,确认患者适合早期活动。同时,护士用通俗易懂的方式向王阿姨讲解快速康复理念,演示术后活动技巧,帮助患者克服"术后不能动"的心理障碍,为主动康复做好准备。
▲患者术中
手术环节采用微创技术精准施治,王阿姨的手术由广东省人民医院林叶教授带领我院经验丰富的肝胆胰外科和甲状腺外科医疗团队主刀,在腹腔镜下精准定位肝S6/7段的血管瘤,避开重要血管和胆管,仅切除病变部分,最大限度保留健康肝组织。整个手术出血量不足20毫升,无需输血,为术后快速康复创造了有利条件。
▲患者术后恢复活动
术后护理采取多管齐下的综合措施。在管道管理方面,24小时内拔除尿管、胃管,3天内撤除腹腔引流管,让患者尽早摆脱束缚。活动康复方面,采用渐进式方案,术后6小时开始床上活动,12小时坐起,24小时下床行走,逐步增加活动量。营养支持打破传统观念,术后6小时少量饮水,24小时由米汤、鱼汤流质饮食逐步过渡到粥、面条等半流食,48小时恢复正常饮食。疼痛管理采用多模式镇痛方案,将疼痛评分始终控制在2分以下,确保患者舒适康复。这套系统化的干预措施,使王阿姨的康复过程真正体验到早拔管、早活动、早进食、少疼痛的就医体验。
如今,在肝胆胰外科和甲状腺外科像王阿姨这样的案例越来越多,肝血管瘤是肝脏里长了一团异常的血管,它本质上是一种血管畸形,因其大部分主要由扩张的血管组成,形状像海绵,故此也常常被称为“肝海绵状血管瘤”。大多数肝血管瘤无明显症状,通常在体检(如B超、CT)时偶然发现。然而,当血管瘤长大到一定程度时,可能会引起上腹部隐痛或胀痛,部分能够在腹部摸到包块,极少数情况下可能出现瘤体破裂出血危急生命。大多数肝血管瘤不需治疗,定期复查即可,但出现以下情况时可能需要手术干预,如:血管瘤直径大于10厘米,上腹部疼痛、饱胀感明显, 血管瘤每年增长大于2厘米、疾病诊断无法明确时。若需治疗,只要适合微创手术,通过肝胆胰外科和甲状腺外科医护团队精准的围手术期管理,都能够让患者感受到“小切口、早出院、舒适养”的快速康复理念,从过去的术后卧床时间7至10天缩短到24小时内,平均住院日从10天以上降至4至7天,大幅提升了患者满意度。
专家简介
林叶
广东省人民医院肝胆外科主任医师、医学博士
我院肝胆胰外科和甲状腺外科客座教授
德国圣约瑟夫纪念医院访问学者,20年来致力于肝胆胰脾疾病的治疗,尤其擅长于原发性肝癌、肝血管瘤、肝门部胆管癌、中下段胆管癌、肝内外胆管结石、门脉高压、脾脏疾病、胆囊癌、胆囊结石、胆囊息肉、先天性胆总管囊肿的外科治疗,熟练掌握肝胆胰脾外科各种复杂的手术。近年主持广东省自然科学基金、广东省医学科研基金以及广州市科技计划项目等3项。以第一作者及通讯作者发表SCI论文20余篇。荣获2022年 “羊城好医生”称号。
门诊时间:请在河源市人民医院官网或官方微信公众号上提前查询
徐新强
肝胆胰外科和甲状腺外科主任、主任医师
临床医学腹腔镜专业硕士
主要从事肝胆、甲状腺、胃肠外科临床和研究工作,熟练掌握普通外科常见疾病(甲状腺、肝胆、胃肠肿瘤)的腹腔镜微创技术。
门诊时间:每周三全天
廖亚帝
省医派驻专家、肝胆胰外科和甲状腺外科副主任、肿瘤学博士
毕业于中山大学,肿瘤学博士。专业特长:从事肝胆外科专业15年,具有丰富的临床经验,擅长肝良、恶性肿瘤、肝脓肿、胆囊结石、胆总管结石、脾肿瘤等疾病的诊治。擅长腹腔镜微创手术、肝胆肿瘤综合治疗以及超声引导下肿瘤消融手术和各类穿刺置管术。
门诊时间:每周二全天
宁海文
肝胆胰外科和甲状腺外科主任医师
2004年毕业于南华大学临床医学系。毕业后于三级医院工作十二年。2014-2015年于中山大学第一附属医院胃肠中心、肝胆外科、血管甲状腺乳腺外科进修,并先后于南方医学习腹腔镜及ERCP技术。擅长胃肠、肝胆、甲状(旁)腺等普外疾病的微创治疗。
门诊时间:每周二全天










