栏目分类
新闻中心
【科普】足跟痛别硬扛!肌骨超声精准揪出足底筋膜问题
来源: 发布时间:2026/3/24 作者:邓清泉 阅读数:96
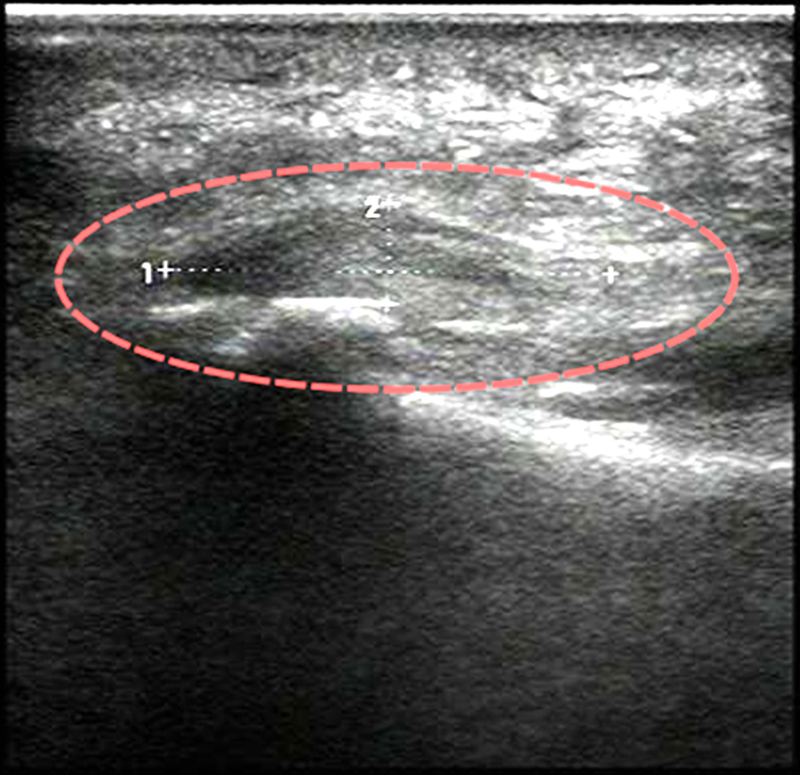
近日,一名42岁的上班族因足跟痛来到肌骨超声科就诊。她自述每天穿高跟鞋久站5至6小时,近一个月来,早上起床下地时足跟出现针刺样疼痛,走几步后稍有缓解,但久站或长时间行走后疼痛又会加重。曾尝试泡脚、贴膏药,症状均未改善。经肌骨超声检查,最终确诊为足底筋膜炎。
这类足跟痛患者在临床中十分常见,多见于长时间站立工作、突然增加运动量或经常穿高跟鞋的人群,很多人会误将其判断为 “足跟骨刺” 或普通劳损,盲目用药硬扛反而会加重病情。接下来我们结合这个病例,详细了解足底筋膜炎的典型症状、超声诊疗的优势以及科学的预防和处理方法。
久坐站起,足跟为何最痛
足底筋膜是足底的纤维结缔组织带,它像一张“弓弦”支撑着足弓,在行走和运动时产生形变吸收和传递地面冲击力。当承受过大的牵拉和压力,其会出现微小撕裂和退行性改变,引发疼痛和功能障碍,而足跟处的牵拉撕裂也会导致跟骨骨刺的形成,但目前的主流观点是:跟骨骨刺不是跟痛症的原因。走几步后筋膜适应,疼痛暂时缓解,但反复牵拉会加重炎症。该患者就是长期穿高跟鞋久站,诱发了筋膜炎症。需要提醒的是:足底筋膜炎≠足跟骨刺,多数足跟痛患者并无骨刺问题,肌骨超声可清晰区分二者,有效避免误诊。
足底筋膜炎的典型症状
结合本例患者情况,足底筋膜炎具有典型临床特点,出现以下表现时需提高警惕:
1.核心症状:晨起下床第一步、久坐后站起时,足跟或足底出现明显刺痛,行走几步后可短暂缓解,但久站、长时间行走后疼痛再次加重。
2.疼痛部位:疼痛多集中在足跟底部或足底近足跟处,局部按压疼痛明显,部分患者可放射至前脚掌。
3.诱发因素:长期久站久坐、频繁穿高跟鞋或硬底鞋、过量跑步运动、体重超标等。
4.易忽视点:初期疼痛多仅在晨起、久坐站起时出现,容易被当作 “小毛病” 忽视,进而延误诊治。
足底筋膜炎,超声一看便知
该患者就诊后,医生首选肌骨超声为其检查,这也是诊断足底筋膜炎的首选方式。很多人会疑惑为何不拍X光片,结合临床诊疗过程,肌骨超声的核心优势十分显著:
1.无辐射、无创伤,10分钟即可完成检查,患者仅需脱鞋配合,全程无不适感;
2.能精准识别筋膜增厚、水肿、微小撕裂等病变,这些都是X光片无法清晰显示的核心病理表现;
3.可有效排除骨刺、囊肿等其他足跟痛病因,避免误诊;
4.无辐射的特性适配所有人群,还能动态观察筋膜牵拉情况,为后续针对性治疗提供精准依据。
医生通过肌骨超声确诊该患者为足底筋膜炎,存在筋膜增厚、水肿的情况,无骨刺问题,并据此为其制定了专属治疗方案。
足底筋膜炎,分级处理有讲究
足底筋膜炎的治疗核心是“抗炎、放松、减少牵拉”,医生会结合病情轻重,制定个性化治疗方案,具体如下:
1.轻度:避免久坐久站,每小时起身活动片刻;更换宽松、柔软的平底鞋,远离高跟鞋、硬底鞋;坚持温水泡脚,配合踮脚、勾脚等动作拉伸足底筋膜,缓解局部炎症;
2.中度:如上述患者,采用超声引导下注射治疗,微创操作可实现精准止痛,同时配合专业按摩、佩戴足底支撑垫,一般1-2个疗程即可明显缓解症状;
3.重度:对于足底筋膜持续疼痛、出现明显撕裂的患者,需进行专业康复训练,必要时采取微创修复治疗,避免病情加重影响正常行走。
足底筋膜炎,高危人群这样防
足底筋膜炎多由不良生活、工作习惯导致,做好以下几点能有效降低患病风险,尤其适合上班族、爱穿高跟鞋的女性等高发人群:
1.避免久坐久站:久坐时每小时起身活动,做踮脚、勾脚动作拉伸足底筋膜;久站工作时佩戴足底支撑垫,减少筋膜牵拉;
2.选对日常鞋子:尽量避开高跟鞋、硬底鞋,选择鞋底宽松、有弹性、能贴合足弓的平底鞋;
3.控重+适度运动:控制体重,减轻足底筋膜的承重压力;运动前做好热身,运动后及时拉伸足底和小腿肌肉,避免过量运动;
4.及时就医检查:若足跟刺痛症状持续1周以上,及时做肌骨超声排查病因,避免延误治疗。
最后提醒:久坐站起足跟刺痛别硬扛!这是足底筋膜炎的信号,肌骨超声无辐射、精准便捷,能快速确诊并引导治疗,帮你守住行走自由。
温馨提示:足底筋膜炎易误诊为足跟骨刺,超声是首选诊断方式,超声医学科可提供一站式检查治疗,足跟刺痛建议及时就诊。
专家简介
高兴
超声医学科负责人、主任医师
从事超声诊断工作23年来,在妇科疑难病例、产科复杂胎儿畸形,心血管、超声造影诊断方面有较丰富的经验,熟悉超声引导下穿刺活检、置管引流、硬化治疗等。主持及参与多项省级、市级科研立项,发表论文多篇。荣获2023年“第七届南粤好医生”称号。
门诊时间:每周一至周五全天
邓清泉
超声医学科主治医师、超声医学科肌骨亚专业组组长
从事超声诊断多年,曾在中国超声医学工程学会深圳市龙岗龙岗中心医院肌骨超声培训基地进修肌骨超声诊断及介入治疗,主持及参与市级科研项目多项。在肌肉骨骼系统疾病的超声诊断和介入治疗方面具有丰富经验。
门诊时间:请在河源市人民医院官网或官方微信公众号上提前查询
赖少艳
超声医学科住院医师、超声医学科肌骨亚专业组副组长
从事超声诊断工作多年。专注肌骨及周围神经超声诊断,擅长运用肌骨超声评估运动损伤、慢性劳损与风湿免疫疾病,开展超声引导下肌骨介入治疗。曾在中国超声医学工程学会深圳市龙岗中心医院肌骨超声研究所进修学习肌骨超声诊断及介入治疗。参与市级科研项目多项。
部分图片来自网络,如有侵权,联系删除







