栏目分类
新闻中心
【妙手仁心,跨越年龄“禁区”】泌尿外科成功为94岁高龄患者完成高难度膀胱癌根治术
来源: 发布时间:2025/11/20 作者:黄考平 阅读数:1446
近日,我院泌尿外科开展了一场与时间赛跑的生命救援,省医派驻专家毕学成主任带领团队,凭借精湛的医术与丰富的临床经验,成功为一名94岁超高龄男性患者实施了风险极高的“腹腔镜膀胱癌根治性切除术”,这一成果不仅创下了我院开展此类手术的最高年龄纪录,更标志着我院在复杂泌尿外科肿瘤诊疗领域的水平实现了新的重大突破。
高龄并非绝对“禁区”,多学科协作精准评估
据悉,该患者因出现无痛性肉眼血尿前往我院就诊,后被确诊为肌层浸润性膀胱癌。膀胱癌根治术是治疗该疾病的有效方法,但对于一位94岁高龄、身体各器官功能均已衰退、并可能伴有多种基础疾病的老人来说,手术耐受性差,麻醉风险极高,术后恢复困难,历来被视为外科手术的“高龄禁区”。
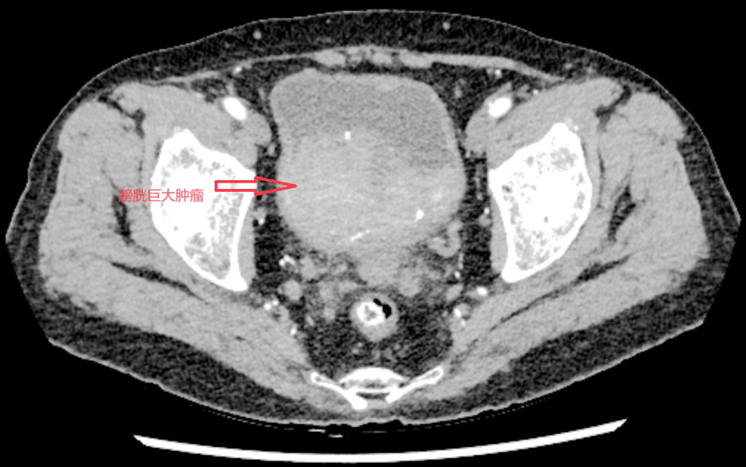
▲术前增强CT片
面对挑战,毕学成主任没有轻言放弃。他立即牵头组织了包括泌尿外科、麻醉科、心血管内科、呼吸内科、重症医学科(ICU)、营养科在内的多学科诊疗团队(MDT),对患者进行了全面、细致的术前评估。团队深入分析了患者的心肺功能、营养状况及手术可能带来的各种风险,并为其量身定制了详尽的术前准备方案、精细的手术计划以及周密的术后康复预案。
技术精湛稳操胜券,微创手术减少创伤
在经过充分的术前准备和家属沟通后,手术如期进行。在麻醉团队的精准护航下,毕学成主任主刀,带领泌尿外科团队黄考平副主任医师、朱佳敏主治医师共同操作。手术过程中,专家们沉着冷静,操作精准细腻,每一步都如履薄冰却又稳操胜券。他们采用了先进的手术技术和理念,有效控制了出血,最大限度地减少了手术创伤对整个机体功能的干扰。
经过数小时的紧张奋战,手术顺利完成,患者生命体征平稳。术后在医护团队的精心照护下,老人平稳度过了危险期,恢复情况良好,现已康复出院。
▲毕学成主任团队在手术中
省医帮扶见实效,河源医疗水平再上新台阶
此次高难度手术的成功,是广东省人民医院对口帮扶我院成果的又一次生动体现。作为省医派驻专家,毕学成主任不仅亲自带来了顶尖的技术,更通过“传、帮、带”的方式,将先进的诊疗理念和临床经验倾囊相授给本地医护人员,极大地提升了我院泌尿外科在疑难重症方面的诊治能力。
毕学成主任表示,“年龄不应是放弃有效治疗的唯一理由。我们的目标是运用最新的技术和管理理念,在确保医疗安全的前提下,为每一位患者,包括高龄患者,提供最佳的治疗方案。这次手术的成功,是整个团队精诚合作的结果,也离不开患者和家属的充分信任。”
此次手术的成功实施,不仅为超高龄膀胱癌患者带来了生的希望和新的治疗选择,也充分展现了我院在高风险外科手术领域的综合实力和人文关怀精神,意味着河源及周边地区的市民在家门口就能享受到与省级医院同质化的顶尖医疗服务。
专家简介
毕学成
省医派驻专家、泌尿外科主任、副主任医师
医学博士、硕士研究生导师
先后毕业于中山医科大学及南方医科大学,从事泌尿外科临床工作二十余年。主要从事泌尿外科各种疾病的诊治。擅长前列腺增生;泌尿系统结石(肾结石,输尿管结石,膀胱结石及尿道结石);泌尿系统肿瘤(肾上腺肿瘤,肾癌,肾盂、输尿管肿瘤,膀胱癌,前列腺癌,睾丸癌及阴茎癌等);泌尿系统先天性畸形的开放和微创手术以及其综合治疗。
多次参与国家级,省部级和厅局级科研课题;主持省级课题3项,市级课题1项。获中华医学科技三等奖(国家级)一项,广东省科学技术奖三等奖(省部级)两项,广州市科学技术奖一等奖(市级)一项。在国内外主流专业杂志发表论文50余篇,以第一及通讯作者发表SCI论文6篇。以副主编身份编写人民卫生出版社版《膀胱癌流行病学》专著。
门诊时间:每周一、周四全天
温世和
泌尿外科副主任、主任医师
2002年毕业于广东医学院,在市人医院从事泌尿外科工作多年。2009年在中三大学附属第三医院进修1年,2011年晋升副主任医师。曾在国家级专业医学杂志上发表论文多篇,主持省级、市级科研立项多项。在我院首先开展了腹腔镜肾根治性切除术、腹腔镜肾上腺切除术、腹腔镜肾盂癌根治术等手术,擅长泌尿系结石、前列腺增生、泌尿系统肿瘤等疾病的微创手术治疗,有丰富的临床工作经验。
门诊时间:每周一全天
黄考平
泌尿外科副主任医师
毕业于广州医科大学临床医学专业,从事泌尿外科临床工作十余年,专注于泌尿系疾病的微创治疗与综合管理。擅长于泌尿系肿瘤(肾癌、膀胱癌、前列腺癌)、泌尿系结石、前列腺增生及男性生殖系统疾病的规范化诊治,尤其在腹腔镜手术、经尿道前列腺切除术、输尿管镜碎石术等微创技术领域经验丰富。曾在中山大学附属第六医院进修学习,系统学习泌尿外科层面外科学。
门诊时间:请在河源市人民医院官网或官方微信公众号上提前查询







